刘阿姨今年57岁,退休后最大的爱好就是带孙子、跳广场舞。可这几个月,她总觉得身上莫名其妙发痒:晚上刚躺下,小腿、胳膊上就会突然起一片片红疹子,又肿又痒,用手一挠,红一大片,过几个小时又自己消失,好像什么也没发生过。
起初她以为是“蚊子咬的”“洗衣粉过敏”,自己去药店买了外用药膏抹一抹。谁知越拖越厉害,天气一热或者一紧张,身上就“炸”起来一大片,痒得睡不着觉。去医院一查,医生却皱起了眉头:

“这可不只是简单的皮肤问题,很可能是荨麻疹,有些类型还和内脏器官功能异常有关,不能再拖了。”
很多人以为,皮肤痒、起风团,只要抹点药膏就好了。真相却是:反复发作的荨麻疹,往往是身体在“报警”,有时甚至是内脏在求救。那皮肤上到底会出现哪些“信号”,需要格外警惕呢?下面这几种表现,建议你认真对照一下。
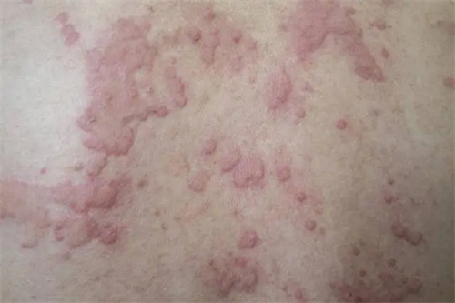
先说清楚,并不是所有皮肤痒都是荨麻疹。典型荨麻疹有几个特点:突然出现:常在十几分钟内皮肤出现一块块凸起的红色或肤色“风团”,像被蚊子咬大了好几倍。

来得快去得也快:单个皮疹一般在24小时内消退,很少在同一位置持续好几天。痒得明显:瘙痒常形容为“钻心一样”,一挠就更红、更肿。反复发作:一天能“换好几拨地方”,今天胳膊,明天背上,后天腿上。
如果这种情况持续超过6周仍反复出现,在医学上就被称为慢性荨麻疹。有研究提示,约有20%–40%的慢性荨麻疹患者,背后合并存在甲状腺疾病、自身免疫问题或慢性炎症灶,这时就不能只盯着皮肤了。
荨麻疹的5种表现,可能是在提醒“内脏有事”
皮肤是“外衣”,很多内在问题,第一时间在这里露出“马脚”。以下这5种荨麻疹表现,值得特别留意:

总在夜间或清晨发作,反复超过6周
如果风团几乎天天来,反复超过6周,尤其是夜间、清晨更明显,要警惕与慢性感染灶(如慢性咽炎、幽门螺杆菌感染)、肠道菌群紊乱、自身免疫性疾病有关。
有资料显示,约有30%–50%的慢性自发性荨麻疹患者可检测到自身抗体异常,说明免疫系统可能在“无端发动攻击”。

伴有消化道症状:腹胀、腹泻、反酸
有些人一吃某些食物:海鲜、酒、加工零食,就容易皮疹+肚子不舒服。这种情况除了食物过敏,还可能提示:胃肠功能紊乱,幽门螺杆菌感染,肝胆代谢异常。
研究发现,部分慢性荨麻疹患者在根除幽门螺杆菌后,症状改善率可达到约40%–60%,说明“肚子里的问题”,真的会在皮肤上表现出来。
皮疹伴乏力、心慌、怕冷或怕热、体重变化
如果在反复荨麻疹的同时,还出现:乏力、心慌、易出汗、怕热或者 精神差、怕冷、体重增加。

要考虑甲状腺功能异常的可能。多项研究提示,慢性荨麻疹患者中,约有10%–27%合并甲状腺疾病或自身抗体阳性。这类患者单靠外用药往往效果一般,需要内分泌科+皮肤科联合评估。
起风团的同时,嘴唇、眼睑甚至手脚突然肿起来
这类叫血管性水肿,往往肿得深、消得慢,可能伴疼痛或紧绷感。如果再出现:喉咙发紧、说话含糊、呼吸困难,胸闷、心慌、头晕。
这已经是严重过敏反应的信号,可能危及生命,必须立即就医。部分血管性水肿与遗传性补体缺陷、肝脏合成功能异常有关,并不只是“吃错东西”这么简单。

反复荨麻疹伴关节痛、低热、体重明显下降
这类情况,要高度警惕:系统性免疫病(如系统性红斑狼疮、血管炎等),慢性肿瘤性疾病的皮肤表现。若在半年内体重不明原因下降超过原体重的5%–10%,同时反复皮疹,务必到正规医院做系统检查,而不是只买药膏对付瘙痒。
出现这些情况,别硬扛,建议这样查、这样做
当你或家人怀疑是荨麻疹,尤其伴有上述“可疑信号”时,可以从这几方面着手:及时就诊:首选皮肤科或变态反应科,医生会根据情况安排血常规、肝肾功能、甲状腺功能、幽门螺杆菌检测、必要的免疫学检查等。

规范用药:在医生指导下使用第二代抗组胺药是目前公认的一线治疗方式,长期、规律使用比“痒得受不了才吃一片”更安全有效。
记录诱因:建议准备一个“小本子”或手机记录,标注发作时间、吃过什么、是否紧张劳累、是否受凉或运动后发作,这些信息能帮助医生判断是否与食物、药物、温度、压力等因素相关。
调整生活习惯:尽量避免已明确诱发的食物或药物;保证充足睡眠,减少熬夜;控制情绪波动,长期焦虑、紧张会让荨麻疹更“黏人”;少用刺激性强的沐浴产品,洗澡水温不宜超过40℃,时间不要太久。

荨麻疹本身并不可怕,很多急性病例在数天至数周内可自行缓解。真正需要重视的是:反复、迁延不愈、伴随其他全身症状的荨麻疹,它往往是身体深处的一声“求救”,可能来自肠胃、内分泌,甚至免疫系统。
皮肤痒的时候,别只顾着挠,也别只盯着那一片红疹子。听懂身体的“暗号”,比什么药膏都重要。
声明:本文根据权威资料结合个人观点撰写,为原创内容,文章不含任何虚构情节和“艺术加工”,无任何虚构对话,本文不含任何低质创作,旨在更加趣味性的科普健康知识,如有不适请线下就医。
